こんにちは!半田市のかなえ歯科・矯正歯科クリニックです。
皆さんもこんな状況になることはありませんか?
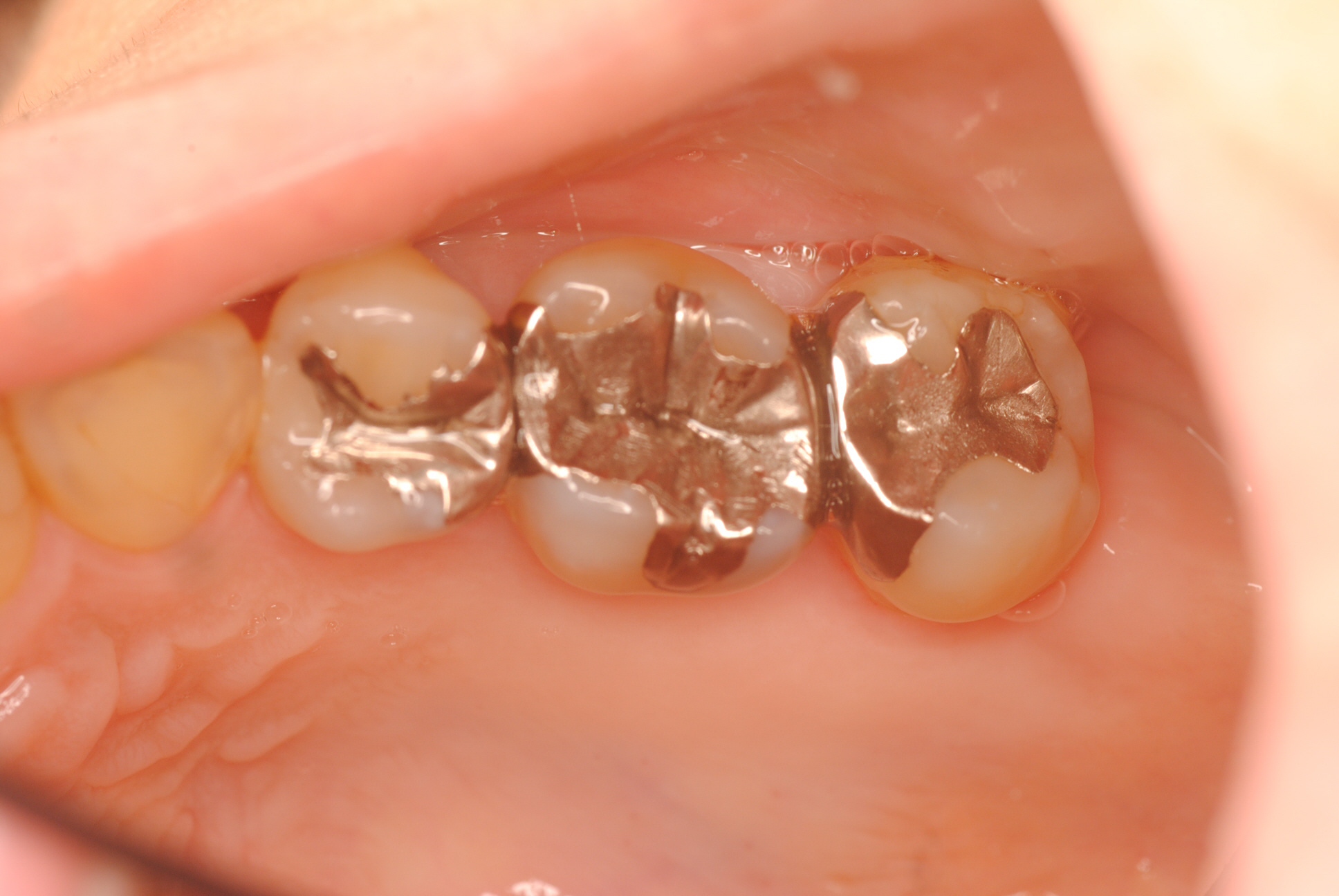
「笑った時に銀歯がキラッと目立って気になる」
「自然な見た目の歯にしたいけれど、どうすればいいの?」
そんな時はどうすれば良いか、歯科の専門家として詳しく解説します!
まず結論からお伝えすると――銀歯と比べて、セラミックは自然な見た目と機能性を兼ね備えた優れた治療法です。
それでは、例となる30代女性のケースをストーリー仕立てで見ていきましょう。
目次
1. 銀歯が気になり始めた30代女性のストーリー
ある30代女性。子育てや仕事も落ち着き、自分の見た目にも気を配れるようになりました。
しかし、鏡を見るたび、笑ったときに奥歯の銀歯がチラリ。人前で笑うとき、写真を撮るときに「銀歯が目立っていないかな?」と気になり始めました。
家族や友人には言えないけれど、内心はとてもコンプレックス。
そんな時、「半田市でセラミック治療ができる歯科医院はないかな?」と検索を始めました。
2. 銀歯とセラミックの違いを歯科医師が解説!
では、なぜ銀歯は気になるのでしょうか?
銀歯は保険診療で多く使われる治療方法ですが、金属なので光を反射して目立ちやすいという特徴があります。
また、経年劣化で歯ぐきが黒ずんだり、金属アレルギーを引き起こすリスクもあります。
一方、セラミックは天然の歯のように白く透明感があり、笑った時にも自然に見えるのが大きな違いです。さらに、金属を使わないため、体に優しく安心です。
さらに、保険の治療である銀歯と保険外の治療であるセラミックでは、数年後に再治療となる確率が大きく異なります。
保険の銀歯は生存率が50%と半分もの治療がやり直しになっていることに対し、保険外のセラミックは10年生存率が80%以上と非常に高く
保険の歯よりもセラミック治療の方が長持ちであることがわかっています。
3. セラミック治療の選択肢とメリット・デメリット
メリット
-
見た目が自然:周囲の歯と馴染む
-
変色しにくい:長期的に白さを維持
-
体に優しい:金属アレルギーの心配なし
-
虫歯の再発リスクを減らす:精密に作られるため隙間ができにくい
デメリット
-
保険適用外になることが多いため、費用が銀歯より高い
-
治療には数回の通院が必要
-
強い衝撃で割れる可能性がある(ただし近年は強度が向上)
「笑った時に銀歯が気になる…」と悩む30代女性にとって、美しい見た目と長期的な健康を両立できるセラミック治療は非常に有力な選択肢です。
4. かなえ歯科・矯正歯科クリニックを選ぶ理由4つ
-
審美治療に力を入れた歯科医院:半田市でセラミック治療の実績多数
-
カウンセリング重視:患者様のお悩みを丁寧にヒアリング
-
安心の院内環境:駐車場完備、キッズ対応もあり、忙しい女性も通いやすい
-
わかりやすい説明:模型や写真を使った丁寧な解説で不安を解消
5. 銀歯とセラミックで迷ったらまず相談を!
「銀歯 セラミック 違い 半田市」「セラミック治療 見た目」「半田市 審美歯科」などで検索して、このページにたどり着いた方も多いのではないでしょうか?
もし、少しでも「笑った時に銀歯が目立つのが嫌だな」と思ったら、それは治療を検討するタイミングです。
かなえ歯科・矯正歯科クリニックでは、初回無料相談を行っています。
一人で悩まずに、ぜひ一度ご相談ください。
監修医師プロフィール
このページを監修した歯科医師
院長:久木田 亮(歯科医師)
小児矯正・予防に注力。6歳からの混合歯列期の対応や、家庭でできるMFT指導に強み。
分かりやすい説明と親身な相談対応で、地域の保護者から厚い信頼を得ています。
年間100症例近くの矯正治療に従事。日本成人矯正歯科学会認定プログラム修了。
かなえ歯科・矯正歯科クリニックの情報
所在地:愛知県半田市岩滑中町3-236
診療科目:一般歯科/小児歯科/矯正歯科
特徴:無料相談/キッズ対応/駐車場完備/カウンセリング重視
TEL:0569-25-0018
WEB予約:24時間受付
👉 まずは無料相談から。
WEB予約はこちら →
またLINEからの相談も受け付けております。
まとめ
銀歯が気になり始めた30代女性にとって、セラミック治療は「自然な見た目と美しい笑顔」を取り戻す有力な方法です。
銀歯とセラミックの違いを理解し、納得のいく治療法を選ぶことが大切です。
半田市で審美歯科・セラミック治療を検討されている方は、ぜひかなえ歯科・矯正歯科クリニックへ。
あなたの笑顔をサポートいたします!












